Курс € 51.50
E-Shop
Назад
Назад
Елайнери vs перехресний прикус у фронтальній ділянці: як лікувати просто складне?
Ортодонтія
15 лютого

Як лікувати перехресний прикус у фронтальній ділянці за допомогою елайнерів ClearCorrect?

Дізнайтесь про це з кейсу доктора стоматологічних наук, магістра ортодонтії Джулі Енн Стеґґерс.

Кейс перекладено спеціально для читачів Impulse Play.

15-річна пацієнтка звернулася за ортодонтичним лікуванням зі скаргою “що її ікло не на своєму місці”. Спочатку, дівчині запропонували традиційне лікування за допомогою брекет системи.

Проте, лікар швидко відмовився від такої опції, оскільки пацієнтка соромилась своєї посмішки і не хотіла засмучуватися ще й через носіння брекетів. 

Саме тому лікар обрав альтернативний план лікування з використанням прозорих елайнерів ClearCorrect.

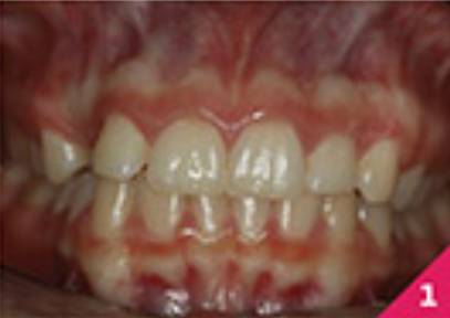
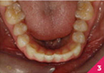
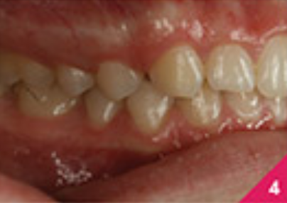
В пацієнтки не було жодних проблем зі здоров'ям та стоматологічних захворювань, крім, мінімальної гіпертрофії ясен на центральних різцях нижньої щелепи. Дотримання гігієни ротової порожнини було відмінним. У пацієнтки був скелетний I клас зі співвідношенням на молярах по I класу. 

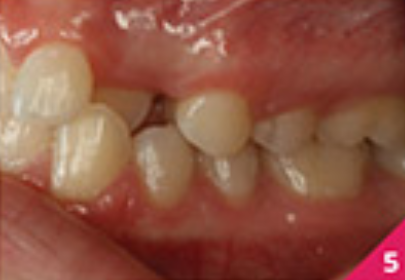
Праве ікло верхньої щелепи було в перехресному перекритті, а різці верхньої і нижньої щелепи були нахилені. Скупчення зубів було помірним у верхньому зубному ряді та легким у нижньому. 

На фото зображено розташування зубів перед початком лікування.

Але давайте погодимось, про елайнери цікавіше дізнатися на практиці! А найкраще навчання теж,  звісно, тільки практичне. 

Тому запрошуємо вас на сертифікаційний курс ClearCorrect. 

Отримайте не просто нові знання - дізнайтесь покрокову інстуркцію для успішного лікування пацієнта. 

Щоб поринути у світ прозорої ортодонтії- реєструйтесь на навчання. 

Та все ж повернемось до нашого кейсу та дізнаємося, як пройшло лікування. 

Після завершення обстежень та отримання інформованої згоди, лікарі розпочали лікування 0 фази. 

0 фаза — важливий крок, оскільки дозволяє пацієнту звикнути до носіння елайнерів без больових відчуттів в зубах, які пов'язані з рухом зубів, і можуть початись елайнерами 1А. 

Елайнери 0 фази також дають змогу лікарю перевірити прилягання елайнерів перед виготовленням основного комплекту.

У випадку, якщо виникне проблема прилягання елайнерів 0 фази, лікар зможе зробити нові відбитки або скани зубів. 

В такий спосіб можна зекономити вартість виготовлення нових елайнерів через неточний первинний шаблон. 

Керування витратами — це те, що дає змогу ClearCorrect пропонувати продукт виняткової якості за вартістю нижчою, ніж у конкурентів. 

Починаючи з елайнера 1А, по два елайнера, на верхню та нижню щелепи, призначалися за раз, і розподілялись на три тижні. Кожна фаза лікування передбачала чотири набори елайнерів. Під час 2 фази на ліве ікло верхньої щелепи та правий другий премоляр і праве ікло нижньої щелепи та лівий другий премоляр було встановлено інгейджери. Інгейджери були встановлені для того, щоб допомогти при специфічних рухах зуба, а також покращити загальну фіксацію елайнерів в ротовій порожнині. 

Процес лікування складається із шести фаз, із загальною кількістю 24 елайнери та тривалістю лікування — 16 місяців. Під час лікування, лікар відмітила, що пацієнтка була винятково мотивованою та підтримувала відмінну гігієну ротової порожнини протягом періоду лікування. Для ретенції було застосовано елайнери, ідентичні до тих, які були використані на фінальному етапі лікування 6D елайнерів. На передніх зубах верхньої щелепи були зроблені мінімальні реставрації реконтурування емалі з метою покращення естетичного вигляду.

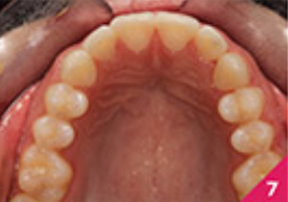
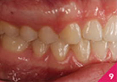
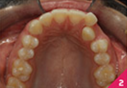
Лікування показало хороші результати, які можна побачити на фото з 6 по 10. Лікар відмітила, що протягом процесу лікування з'явилася незначна рецесія ясен на правому центральному різці нижньої щелепи. Пацієнтку було скеровано на консультацію до пародонтолога та, можливо, трансплантацію ясен.

Сподобався кейс і ви вже хочете дізнатись більше новин зі світу сучасної ортодонтії?

Тоді пишіть нам!

Поширюйте цю статтю у своїх соціальних мережах та будьте завжди в курсі новин світу стоматології в Україні та за кордоном. 


Згорнути
Розгорнути
Підтвердіть, що ви не робот
123
Ой, згадав!