Курс € 52.00
E-Shop
Назад
Назад
Відновлення зубного ряду у беззубих пацієнтів
Digital
18 січня

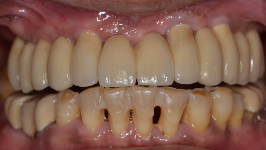
44-річному пацієнту раніше видалено всі верхні зуби та встановлено негайний суцільний знімний протез з правильним співвідношенням між прикусом та накладним протезом. 

Щоб правильно розмістити імпланти, протягом процесу розробки з хірургічного шаблону було видалено всі зуби, за винятком 2 центральних різців та 2 перших молярів. 

Ці зуби були залишені, щоб підтримати встановлений прикус при змиканні імплантів. 

Після періоду загоєння, було прийнято рішення відновити верхню щелепу за допомогою суцільного фіксованого протезу на шести імплантах. 



Рентгенопроникні маркери для проведення конусно-променевої томографії були прикріплені до існуючого суцільного верхнього протезу пацієнта, який потім просканували за допомогою апарату ProMax 3D Mid для проведення конусно-променевої комп'ютерної томографії. 



Ротова порожнина пацієнта, із встановленим протезом на місце, була просканована тим самим апаратом для комп'ютерної томографії. Скан протезу був співставлений із записом комп'ютерної томографії верхньої щелепи задля планування оптимального протезування на імплантах. (зображення 1 та 2)






1

2

За допомогою програмного забезпечення було проведено моделювання майбутнього розміщення імплантів. Навігаційний хірургічний шаблон було розроблено і видруковано на 3D принтері із застосуванням матеріалу PolyLite PLA. (зображення 3)



3

Щоб правильно розмістити імпланти, протягом процесу розробки з хірургічного шаблону було видалено всі зуби, за винятком 2 центральних різців та 2 перших молярів. (зображення 4) 

Ці зуби були залишені, щоб підтримати встановлений прикус при змиканні імплантів. 




4

Під час проведення процедури хірургічний шаблон було міцно стиснуто пальцями до піднебіння. 

Після встановлення імплантів, верхньощелепний знімний протез було оброблено препаратом Viscogel та повернено пацієнту разом з інструкцією по дотриманню гігієни ротової порожнини та розробленою дієтою. (зображення 6)

6

7

Також був зроблений і післяхірургіний панорамний рентгенний знімок. (зображення 7)



Після завершення чотирьохмісячного періоду загоєння, інтраоральні скан абатменти (Straumann CARES Mono) були вручну закріплені на імплантах із кутовою поверхнею, повернені буккально згідно з рекомендаціями виробника. 

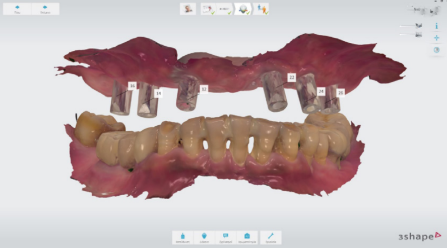
Інтраоральне цифрове зображення цілої дуги верхньої щелепи отримано за допомогою інтраорального сканера 3Shape TRIOS відповідно до офіційного протоколу сканування, згідно з рекомендаціями виробника. 

Також було отримано цифрове зображення нижньої щелепи. (зображення 8)

8

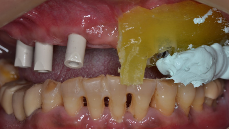
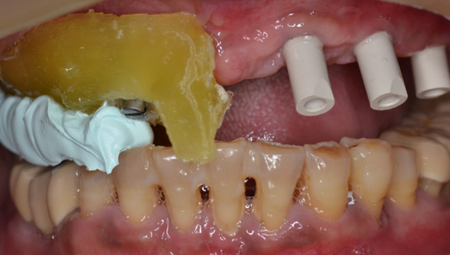
Щоб записати висоту прикусу, вже визначену негайним протезом, металеві штирі було видалено з шаблону та шаблон для навігаційної хірургії було надійно закріплено на серединних імплантах, з використанням модифікованих тримачів для імплантів. (зображення 9)

9

Збережені центральні різці на шаблонні виконували роль переднього затримувача для правильного передньо-заднього розміщення нижньої щелепи. 



Перші моляри на шаблонні допомогли відтворити встановлений вертикальний вимір прикусу. 



Хоча серединна частина молярів була видалена зі шаблону, щоб полегшити встановлення імплантів, дистальна частина зубів функціонально відповідала вимогам збереження правильного прикусу. 



10

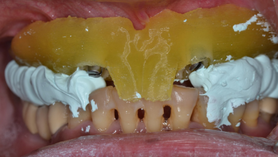
Щоб полегшити процес проведення цієї процедури, матеріал для зняття прикусу (Prestige Bite, Vanini, Італія), було застосовано для подальшої стабілізації центрального змикання щелеп (CR) на визначеній висоті прикусу. (зображення 10)

Після процедури запису висоти прикусу, шаблон було розділено на дві половинки вздовж серединної лінії. 

Кожна половинка була міцно закріплена на місце за допомогою відповідних тримачів імплантів та матеріалів для реєстрації прикусу при змиканні. 

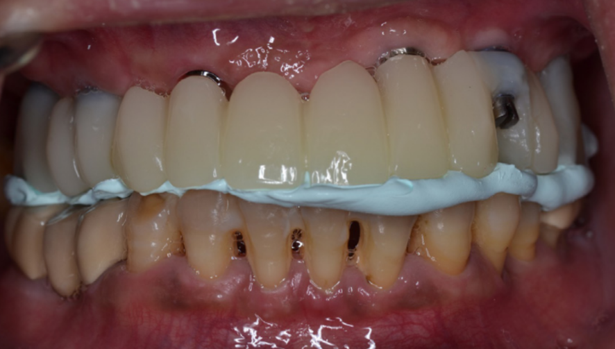
Вони використовувалися поперемінно разом із скан абатментами на протилежній стороні, щоб записати прикус із використанням модуля для реєстрації прикусу з інтраоральним сканером та протоколом сканування, рекомендованим 3Shape. (зображення 11, 12)

11

12

Цифрова реєстрація прикусу була завершена за допомогою програмного забезпечення IOS (зображення 13) 


А зразок було перенесено в програму CAD design. (зображення 14)

13

14

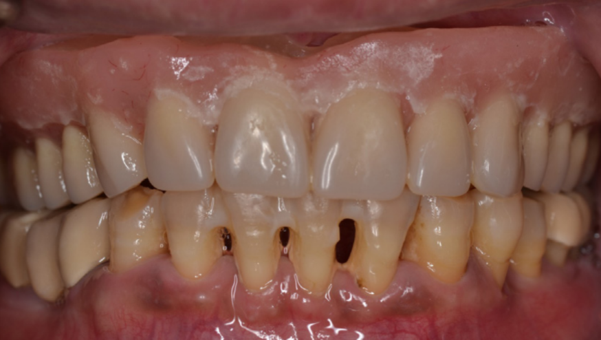
Відфрезерований зразок PMMA було виготовлено і використано для перевірки естетичного вигляду спереду. Мінімальні неточності у встановленій висоті прикусу та центральне змикання було доопрацьовано із використанням матеріалу для реєстрації прикусу. (зображення 15)

15

Суцільний металокерамічний протез на цементній основі, закріплений на абатментах Straumann synOcta було нарешті встановлено. (зображення 16)

16

Клінічною перевагою цього методу є те, що пацієнт не проходив процедури зняття суцільного традиційного відбитку верхньої або нижньої щелепи. Параметри прикусу були зареєстровані цифровим способом з високою точністю. Цифровий відбиток та реєстрація прикусу були проведені за один прийом.

Перевагою для пацієнта було те, що цифровий скан імплантів верхньої щелепи було виконано як точно, так і комфортно, і, крім того, на нижній щелепі не застосовувався твердий матеріал для зняття відбитків, який би торкався чи розхитував зуби нижнього зубного ряду, уражені пародонтозом. 

На кінець, в лабораторних умовах ми отримали змогу розробити фінальний протез в найменших деталях, що призвело до очікуваного, як функціонального, так і естетичного результату. 


Згорнути
Розгорнути
Підтвердіть, що ви не робот
123
Ой, згадав!