Курс € 52.00
E-Shop
Назад
Назад
Тотальна реабілітація пацієнта з використанням імплантатів Straumann BLT – 2 роки спостереження.
Імплантологія
15 лютого

Працюючи зі складними кейсами з тотальними реабілітаціями, стоматолог має бути абсолютно впевненим в надійності імплантаційної системи, яку він використовує, та її універсальності.

Це допоможе скласти оптимальний план лікування для пацієнта, беручи за пріоритет конкретні клінічні потреби, не обмежуючись можливостями системи.

В таких випадках на допомогу приходить перевірена роками та великою кількістю успішних кейсів система Straumann BLT, що поєднує надійність імплантатів bone level з прогресивною конічною формою інтраосальної частини.

В своєму кейсі стоматолог-хірург, пародонтолог Адамідіс Євгеній Ніколаос з клініки Hellas Dental розкаже про тотальну реабілітацію пацієнта з використанням імплантатів Straumann BLT. 

Первинна ситуація

67-річний пацієнт, без шкідливих звичок, з незадовільним пародонтальним статусом та підвищеним рівнем глюкози звернувся в клініку для заміни старих нефункціональних ортопедичних конструкцій на верхній та нижній щелепах.

В пацієнта також були скарги на кровоточивість ясен, гноєтечу, неприємний запах, рухомість конструкцій, незадовільний естетичний вигляд.

В анамнезі зазначалося, що тотальне ортопедичне лікування було проведене 10 років назад.

На етапі планування було прийнято рішення про збереження зубів верхньої щелепи та подальшого використання їх, як опори під незнімні конструкції, з додатковим встановленням імплантатів в ділянках дефектів. 

Також було звернено увагу на недостатню вертикальну кісткову пропозицію в дистальних відділах 1 та 2 квадрантів. Зуби нижньої щелепи було заплановано видалити з огляду на недостатню кісткову підтримку та неможливість протезування.

План лікування

Після детального вивчення даних комп’ютерної томографії пацієнта, було затверджено план лікування, який складався із двох хірургічних етапів. 

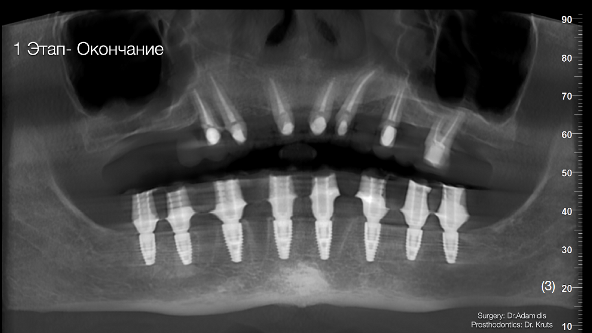
Етап 1. Робота з нижньою щелепою:

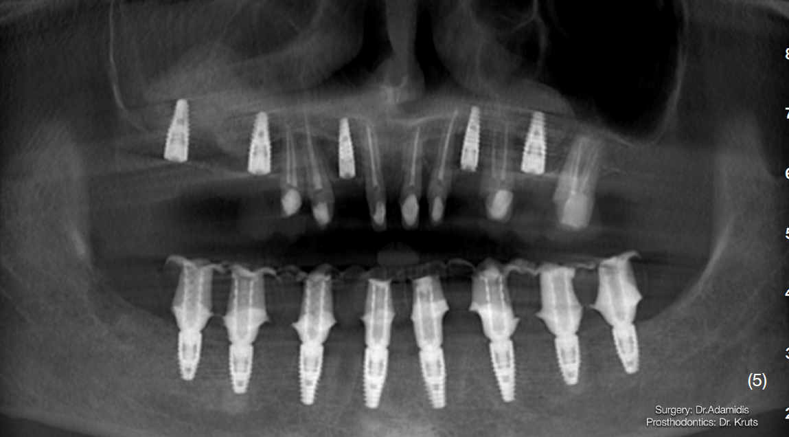
Екстракція наявних зубів та одномоментне встановлення 8 імплантатів Straumann BLT з використанням навігаційного хірургічного шаблону. В це ж відвідування було зафіксовано тимчасову конструкцію з рівня імплантатів, без використання мультиюніт-абатментів. Станом на цей момент для тимчасової реабілітації верхньої щелепи вже було виготовлено та зафіксовано провізорну конструкцію з опорою на зуби.

Етап 2. Робота з верхньою щелепою.

Через 3 місяці після першого етапу було проведено операцію на верхній щелепі. Було виконано відкритий синус-ліфтинг в першому квадранті та закритого в другому.

Матеріалом, що використовувався під час операції був Straumann Xenograft та аутологічна кістка, яка була забрана із ділянки зовнішньої косої лінії.

Одномоментно з кістковою аугментацією встановлено імплантати Strauman BLT діаметром 3.3mm в ділянках 12, 15, 17, 23, 25 зубів. Операційну рану було ушито, зворотньо зафіксовано тимчасову конструкцію на наявних зубах.

Етап протезування

Через 4 місяці після імплантації на нижній щелепі пацієнт був викликаний для заміни провізорної реставрації на постійну. Було відмічено дефіцит кератинізовних прикріплених ясен в 4 квадранті, що могло поставити під ризик стабільність імплантатів та естетичні параметри.

Тому було проведено м'якотканинну аугментацію технікою Strip в даній ділянці.

Протезування проводилось з використанням цифрового протоколу.

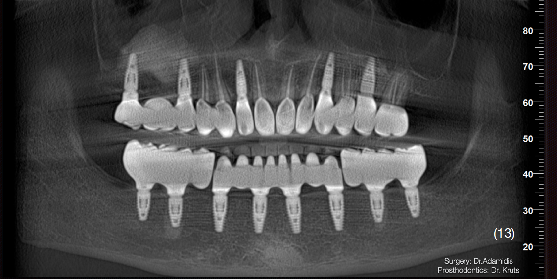
На нижню щелепу було виготовлено роздільну конструкцію. В бічних ділянках – мостоподібні протези на гвинтовій фіксації з рівня імплантату.

У фронтальній ділянці комбінована конструкція – каркас із діоксиду цирконію, фіксований до імплантатів гвинтами, на який цементуються коронки із прес-кераміки. Такий тип конструкції вибрано через високу надійність та прогнозованість в довготривалій перспективі, що підтверджується даними клінічних досліджень, а також легкість в обслуговуванні.

Верхню щелепу реабілітовано коронками з опорою на зуби та імплантати.

2 роки після операції

ПРО лікаря

Адамідіс Євгеній Ніколаос - стоматолог-хірург, пародонтолог

Досвід роботи: більше ніж 7 років


Спеціалізація: хірургія, мікрохірургія під дентальним мікроскопом, імплантація за індивідуальними шаблонами, лікування в умовах медикаментозного сну, регенерація м’яких і твердих тканин


Наукова діяльність: Спеціаліст в області щелепно-лицевої хірургії (University of Manchester, UK). Кандидат медичних наук в області щелепно-лицевої хірургії. (Manchester, UK)


Членство в професійних організаціях: член ITI (international team of implantologist), член асоціації лікарів-стоматологів Великобританії, член асоціації лікарів-імплантологів України


Бере активну участь в конкурсах Straumann Young Awards, Straumann ProYoung awards


Лектор на багатьох стоматологічних симпозіумах


Отримав клінічну спеціалізацію в області «регенерації твердих і м’яких тканин» В інституті регенеративної медицини Проф.Урбана (Будапешт)
отримав клінічну спеціалізацію в області «пародонтальної хірургії» Дубаї, ОАЕ (Др. Отто Цур)


Згорнути
Розгорнути
Підтвердіть, що ви не робот
123
Ой, згадав!